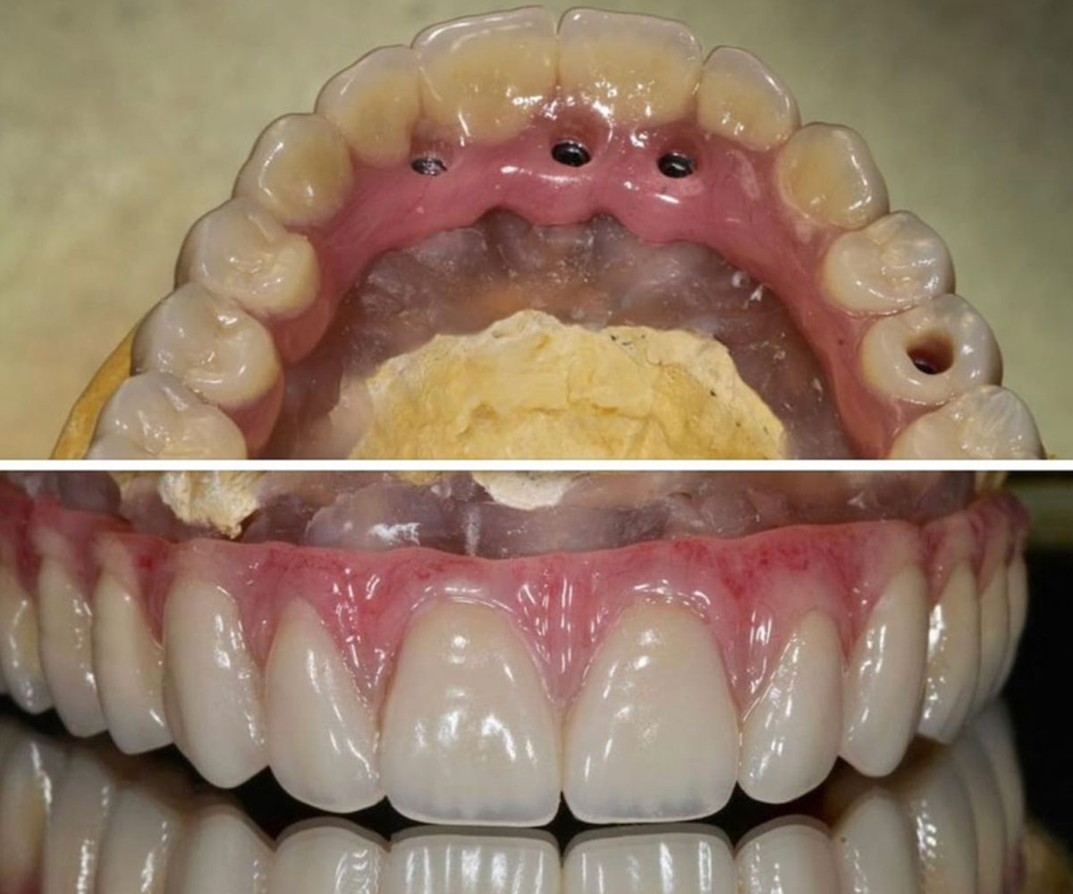
More clinicians and their patients are seeking a more functional and fixed solution other than removables for edentulous situation. We at AL SHAMIL Dental Lab has been on the vanguard of innovations in implant dentistry. Draw on our extensive experience to help with case planning, consultation and fabrication services to improve outcomes on every case.
SCREW RETAINED HYBRID DENTURES AND BRIDGES
- Permanent, long-term tooth replacement
- Combination of both Digital and Handcrafted at ALSHAMIL Dental Lab
- Realistic, aesthetic appearance
- Easy to remove for cleaning





